Winter Sale - Special Limited Time 65% Discount Offer - Ends in 0d 00h 00m 00s - Coupon code: dpm65

AB-Abdomen Abdomen Sonography Examination Questions and Answers

Questions 4

Which adjustment would most likely improve visualization of a small superficial tubular structure such as a peripheral artery?

Options:

A.

Decreasing frame rate

B.

Decreasing transducer wavelength

C.

Decreasing slice width

D.

Decreasing power output

Buy Now
Questions 5

Hepatitis is classified into groups. Which of these four types are transmitted by fecal-oral route?

Options:

A.

A

B.

B

C.

C

D.

D

Buy Now
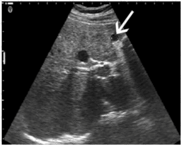
Questions 6

Which condition is most consistent with the sonographic appearance indicated by the arrows on this image obtained post thyroidectomy?

AB-Abdomen Question 6

Options:

A.

Recurring papillary thyroid cancer

B.

Normal postsurgical lymph node

C.

Residual glandular tissue

D.

Reactive lymph node

Buy Now
Questions 7

Which neoplasm is a benign tumor of the spleen?

Options:

A.

Lymphoma

B.

Metastasis

C.

Angiosarcoma

D.

Littoral cell angioma

Buy Now
Questions 8

Which finding is most likely demonstrated in this abdominal wall image of a patient with a history of atrial fibrillation?

AB-Abdomen Question 8

Options:

A.

Hernia

B.

Lipoma

C.

Abscess

D.

Hematoma

Buy Now
Questions 9

In which segment is the solid mass located in this transverse image of the liver?

AB-Abdomen Question 9

Options:

A.

Left lateral

B.

Left medial

C.

Right anterior

D.

Right posterior

Buy Now
Questions 10

Which term best describes the common bile duct measured in this image of a postcholecystectomy patient?

AB-Abdomen Question 10

Options:

A.

Normal

B.

Dilated

C.

Inflamed

D.

Atretic

Buy Now
Questions 11

Which clinical finding is most likely associated with the splenic pathology demonstrated in this image?

AB-Abdomen Question 11

Options:

A.

Trauma

B.

Sickle cell anemia

C.

Immunocompromised

D.

Portal hypertension

Buy Now
Questions 12

What is the most common ultrasound appearance of the pancreas in mild acute pancreatitis?

Options:

A.

Enlarged

B.

Hypoechoic

C.

Heterogeneous

D.

Normal

Buy Now
Questions 13

Which condition is most consistent with the sonographic appearance in this image of the abdominal wall?

AB-Abdomen Question 13

Options:

A.

Lipoma

B.

Fibroma

C.

Desmoid

D.

Metastasis

Buy Now
Questions 14

Which scanning technique would best reduce reverberation artifact when assessing the gallbladder?

Options:

A.

Decrease the sector width

B.

Decrease the overall gain

C.

Turn on penetration

D.

Turn on harmonics

Buy Now
Questions 15

Which syndrome is characterized by right upper quadrant pain, ascites, and hepatocellular dysfunction?

Options:

A.

Budd-Chiari

B.

Calciphylaxis

C.

Ehlers-Danlos

D.

Klippel-Trenaunay

Buy Now
Questions 16

Beginning at the renal artery, what is the correct sequence of arterial branching?

Options:

A.

Interlobar, arcuate, segmental

B.

Segmental, arcuate, interlobar

C.

Arcuate, segmental, interlobar

D.

Segmental, interlobar, arcuate

Buy Now
Questions 17

Which vessel is indicated by the arrow on this image?

AB-Abdomen Question 17

Options:

A.

Proper hepatic artery

B.

Superior mesenteric artery

C.

Left renal vein

D.

Right renal artery

Buy Now
Questions 18

Elevation of alpha-fetoprotein levels is a characteristic finding in which tumor?

Options:

A.

Hepatoma

B.

Adenoma

C.

Cholangiocarcinoma

D.

Focal nodular hyperplasia

Buy Now
Questions 19

Which common congenital anomaly is typically seen as a cystic midline anterior neck structure?

Options:

A.

Branchial cleft cyst

B.

Cystic hygroma

C.

Thyroglossal duct cyst

D.

Cystic follicular adenoma

Buy Now
Questions 20

What is a major advantage of power Doppler over color flow Doppler?

Options:

A.

Decreased sensitivity to motion artifacts

B.

Doppler angle independent

C.

Improved signal-to-noise ratio

D.

Ease of determining flow direction

Buy Now
Questions 21

Which disease process causes exudative ascites?

Options:

A.

Hypoproteinemia

B.

Renal failure

C.

Liver failure

D.

Infection

Buy Now
Questions 22

Which sonographic appearance of the normal epididymis is the most common?

Options:

A.

Isoechoic to the testis

B.

Anechoic with hyperechoic borders

C.

Homogeneous compared to the testis

D.

Hypoechoic with irregular borders

Buy Now
Questions 23

Which normal anatomical structure is also known as the accessory pancreatic duct?

Options:

A.

Duct of Vater

B.

Duct of Wirsung

C.

Duct of Santorini

D.

Common pancreatic duct

Buy Now
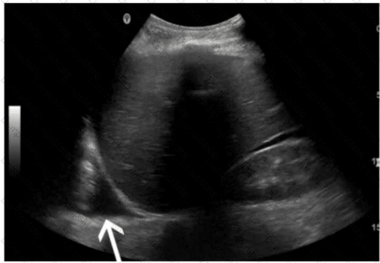
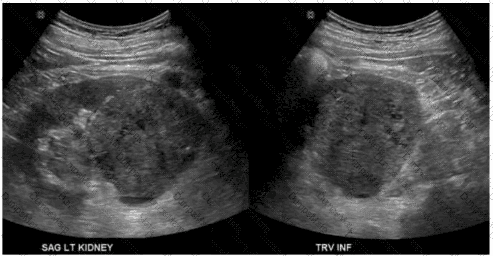
Questions 24

Which renal anomaly is demonstrated on this image?

AB-Abdomen Question 24

Options:

A.

Duplicated collecting system

B.

Crossed renal ectopia

C.

Horseshoe kidney

D.

Pelvic kidney

Buy Now
Questions 25

Which condition is most likely in a patient presenting with weight loss and fatigue along with elevated liver enzymes, elevated potassium, and decreased sodium?

Options:

A.

Addison disease

B.

Conn syndrome

C.

Acute pancreatitis

D.

Hepatocellular carcinoma

Buy Now
Questions 26

Which area of the spleen is not covered by visceral peritoneum?

Options:

A.

Capsule

B.

Gastric surface

C.

Inferior border

D.

Hilum

Buy Now
Questions 27

Which renal finding is often present in patients with tuberous sclerosis?

Options:

A.

Renal cell carcinoma

B.

Angiomyolipoma

C.

Sinus lipomatosis

D.

Multilocular cystic nephroma

Buy Now
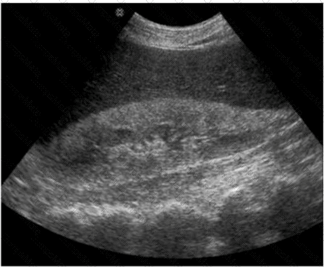
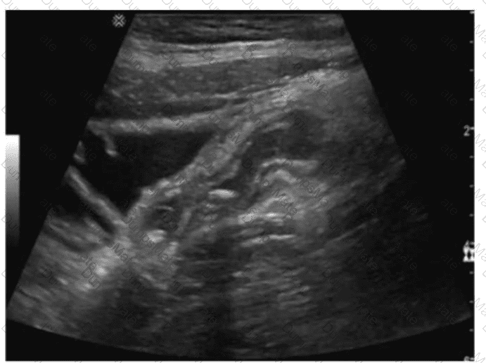
Questions 28

Which condition is most consistent with the findings in this image?

AB-Abdomen Question 28

Options:

A.

Fungal balls

B.

Renal cell carcinoma

C.

Acute pyelonephritis

D.

Medullary sponge kidney

Buy Now
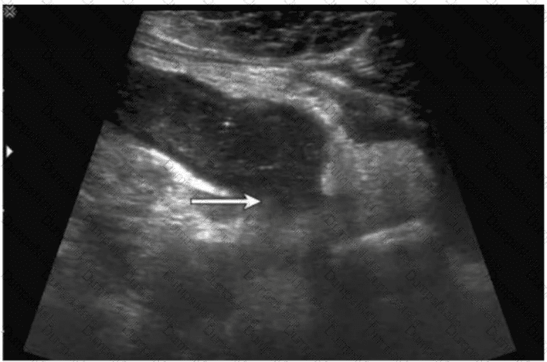
Questions 29

Which vascular condition is most likely associated with the sonographic findings demonstrated in this image?

AB-Abdomen Question 29

Options:

A.

Budd-Chiari syndrome

B.

Splenic artery aneurysm

C.

Recanalized umbilical vein

D.

Median arcuate ligament syndrome

Buy Now
Questions 30

Which technique best differentiates a bladder mass from a hematoma?

Options:

A.

Use harmonic imaging

B.

Obtain post-void image

C.

Fill the bladder

D.

Change patient position

Buy Now
Questions 31

Which condition is most consistent with thinning of the renal cortex, reduction in renal length, and prominence of the renal sinus fat in a patient presenting four months after renal transplant with slightly reduced renal function?

Options:

A.

Acute rejection

B.

Chronic rejection

C.

Normal findings

D.

Arterial stricture

Buy Now
Questions 32

Where in the neck are most thyroid cancer recurrences found?

Options:

A.

Contralateral

B.

Ipsilateral

C.

Bilateral

D.

Subauricular

Buy Now
Questions 33

Which diagnosis is most consistent with this image from a patient with acute scrotal pain?

AB-Abdomen Question 33

Options:

A.

Scrotal abscess

B.

Testicular rupture

C.

Testicular torsion

D.

Epididymitis

Buy Now
Questions 34

A 60-year-old man presents to the emergency room, complaining of tearing pain in the chest and abdomen. Blood pressure readings from the two arms show a difference of more than 20 mm. Which ultrasound finding is most likely associated with this presentation?

Options:

A.

Echogenic material in the inferior vena cava

B.

Thickened gallbladder wall

C.

Intimal flap in the aorta

D.

Pericardial fluid

Buy Now
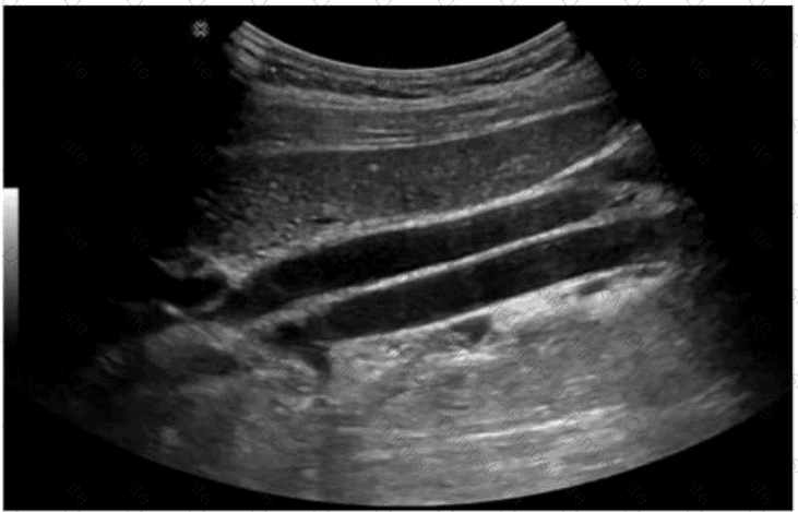
Questions 35

Which portion of the renal arterial vasculature is indicated by the arrow in this image?

AB-Abdomen Question 35

Options:

A.

Interlobular

B.

Arcuate

C.

Segmental

D.

Interlobar

Buy Now
Questions 36

Which technique would best eliminate the spectral Doppler artifact in this image?

AB-Abdomen Question 36

Options:

A.

Adjust gain

B.

Adjust baseline

C.

Increase wall filter

D.

Increase pulse repetition frequency

Buy Now
Questions 37

Which term refers to the testicular capsule?

Options:

A.

Tunica albuginea

B.

Tunica vaginalis

C.

Dartos fascia

D.

Pampiniform plexus

Buy Now
Questions 38

Which condition is demonstrated in this image of a febrile patient with breast redness and tenderness?

AB-Abdomen Question 38

Options:

A.

Ductal ectasia

B.

Abscess

C.

Sebaceous cyst

D.

Galactocele

Buy Now
Questions 39

Which organ is drained via the vessel indicated by the arrow in this image?

AB-Abdomen Question 39

Options:

A.

Spleen

B.

Stomach

C.

Left kidney

D.

Duodenum

Buy Now
Questions 40

Identify the congenital anomaly.

Using your mouse, place the cursor on the appropriate region of the image and then left-click the mouse button to indicate your selection.

AB-Abdomen Question 40

Options:

Buy Now
Questions 41

Which structure is located between the fundus of the stomach and the diaphragm?

Options:

A.

Caudate lobe of the liver

B.

Left lobe of the liver

C.

Right kidney

D.

Spleen

Buy Now
Questions 42

Which vascular condition is most commonly associated with a wandering spleen?

Options:

A.

Infarction

B.

Torsion

C.

Rupture

D.

Portal hypertension

Buy Now
Questions 43

A patient presents with ampulla of Vater obstruction, distention of the gallbladder, and painless jaundice. Which condition is most likely associated with these findings?

Options:

A.

Porcelain gallbladder

B.

Mirizzi syndrome

C.

Courvoisier sign

D.

Choledochal cyst

Buy Now
Questions 44

Which finding is helpful to differentiate postsurgical breast scarring from a recurrent tumor?

Options:

A.

Irregular hypoechoic area

B.

Architectural distortion

C.

Absent Doppler signal

D.

Associated skin thickening

Buy Now
Questions 45

Which type of artifact is indicated by the arrows on this image?

AB-Abdomen Question 45

Options:

A.

Focal enhancement

B.

Edge shadow

C.

Speed error

D.

Comet tail

Buy Now
Questions 46

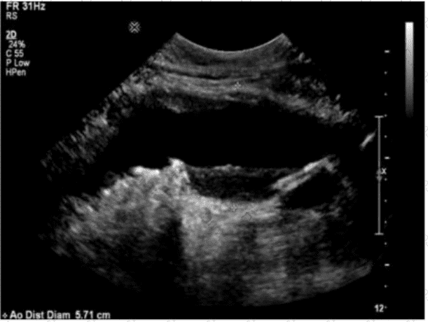
Which action should a sonographer take if the abdominal aorta measures 5.5 centimeters in the anteroposterior diameter?

Options:

A.

Report the finding to the radiologist immediately

B.

Follow the routine protocol for abdominal ultrasound

C.

Release patient from care

D.

Disclose the diagnosis to the patient

Buy Now
Questions 47

Which congenital anomaly is characterized by the failure of the dorsal and ventral pancreatic buds to fuse?

Options:

A.

Ectopic pancreas

B.

Annular pancreas

C.

Pancreatic agenesis

D.

Pancreas divisum

Buy Now
Questions 48

Which malignancy most commonly metastasizes to the testes?

Options:

A.

Prostate cancer

B.

Bladder cancer

C.

Hodgkin lymphoma

D.

Non-Hodgkin lymphoma

Buy Now
Questions 49

A patient with hepatocellular carcinoma presents for a paracentesis. Which lab value is the most pertinent to the procedure?

Options:

A.

International normalized ratio

B.

Alanine aminotransferase

C.

Alpha fetoprotein

D.

Total bilirubin

Buy Now
Exam Code: AB-Abdomen
Exam Name: Abdomen Sonography Examination
Last Update: Nov 21, 2025
Questions: 165

PDF + Testing Engine

$57.75  $164.99

Testing Engine

$43.75  $124.99
buy now AB-Abdomen testing engine

PDF (Q&A)

$36.75  $104.99
buy now AB-Abdomen pdf
dumpsmate guaranteed to pass
24/7 Customer Support

DumpsMate's team of experts is always available to respond your queries on exam preparation. Get professional answers on any topic of the certification syllabus. Our experts will thoroughly satisfy you.

Site Secure

mcafee secure

TESTED 21 Nov 2025