Pre-Summer Sale - 70% Discount Offer - Ends in 0d 00h 00m 00s - Coupon code: dm70dm

AE-Adult-Echocardiography AE Adult Echocardiography Examination Questions and Answers

Questions 4

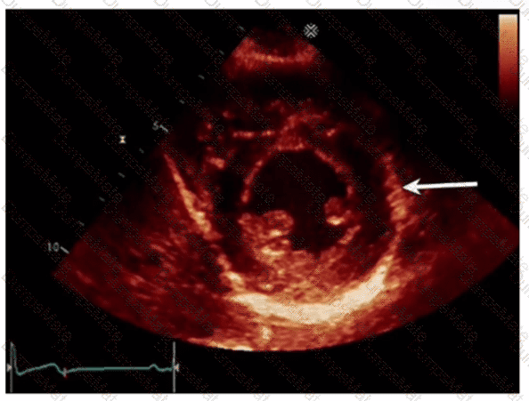
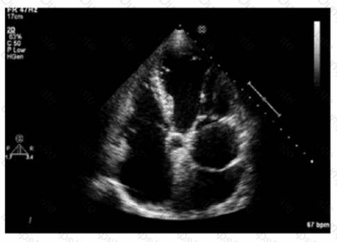
Which finding is shown in this image?

AE-Adult-Echocardiography Question 4

Options:

A.

Chiari network

B.

Left atrial thrombus

C.

Cor triatriatum

D.

Artifact

Buy Now
Questions 5

Which pathology is consistent with the left ventricular strain pattern shown in this image?

AE-Adult-Echocardiography Question 5

Options:

A.

Amyloidosis

B.

Apical hypertrophy

C.

Non-ischemic cardiomyopathy

D.

Right coronary artery infarct

Buy Now
Questions 6

A "dropout" or loss of echoes from structures posterior to a calcified mitral annulus results in which artifact?

Options:

A.

Reverberation

B.

Side lobe

C.

Shadowing

D.

Ring-down

Buy Now
Questions 7

Which structure is indicated by the arrow on this image of a normal valve?

AE-Adult-Echocardiography Question 7

Options:

A.

Posterior leaflet

B.

Septal leaflet

C.

Non-coronary cusp

D.

Left coronary cusp

Buy Now
Questions 8

Which two-dimensional method is recommended for assessing left ventricular ejection fraction when regional wall motion abnormalities are present?

Options:

A.

Visual

B.

Simpson biplane

C.

Quinones

D.

Tetcholz

Buy Now
Questions 9

Which condition is commonly associated with cardiac tamponade?

Options:

A.

Decreased jugular venous pressure

B.

Bradycardia

C.

Hypertension

D.

Hypotension

Buy Now
Questions 10

Which view is most appropriate for measuring right ventricular dimensions?

Options:

A.

Subcostal four-chamber

B.

Parasternal short axis at the base

C.

Apical lateral right ventricular-focused

D.

Parasternal long axis

Buy Now
Questions 11

Which hepatic vein flow pattern signals severe tricuspid regurgitation?

Options:

A.

Flow reversal in systole

B.

Flow reversal in diastole

C.

Atrial flow reversal in systole

D.

Biphasic flow reversal in diastole

Buy Now
Questions 12

Which maneuver aids in uncovering potential diastolic dysfunction while performing pulsed wave Doppler of the mitral valve?

Options:

A.

Valsalva

B.

Hand grip

C.

Leg air cycling

D.

Squatting

Buy Now
Questions 13

Which sonographic views allow visualization of a patent ductus arteriosus (PDA)?

Options:

A.

Suprasternal notch and basal parasternal short axis

B.

Basal parasternal short axis and right ventricular inflow tract

C.

Parasternal long axis and apical long axis

D.

Parasternal long axis and apical five-chamber

Buy Now
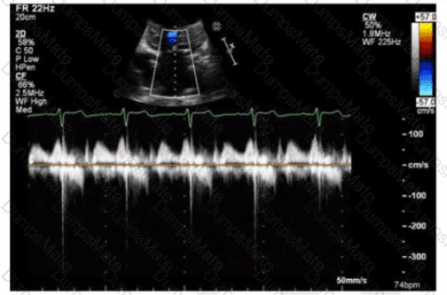
Questions 14

Which next step is appropriate after obtaining the Doppler signal in this image?

AE-Adult-Echocardiography Question 14

Options:

A.

Pulsed wave at various levels of the left ventricle to localize intracavitary gradient.

B.

Pulsed wave at the level of the mitral valve leaflet tips to assess for mitral stenosis

C.

Continuous wave through the left ventricle to localize intracavitary gradient

D.

Continuous wave through the mitral valve to assess for mitral stenosis

Buy Now
Questions 15

Which adjustment is most likely to improve image quality from the suprasternal long axis window?

Options:

A.

Move probe just inferior to the sternum

B.

Ask patient to look slightly toward the left

C.

Place patient in left lateral decubitus position

D.

Rotate transducer indicator toward the patient's right shoulder

Buy Now
Questions 16

Which view best demonstrates a wall thickening abnormality of the apical lateral segment?

Options:

A.

Two-chamber

B.

Four-chamber

C.

Parasternal long axis

D.

Mid-parastemal short axis

Buy Now
Questions 17

Which parameter is necessary to calculate a 2D left atrial volume index?

Options:

A.

Age

B.

Height

C.

Blood pressure

D.

Cardiac output

Buy Now
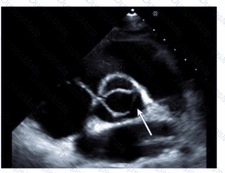
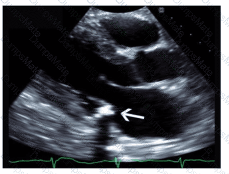
Questions 18

Which coronary artery is identified by the arrow on this image?

AE-Adult-Echocardiography Question 18

Options:

A.

Right

B.

Left main

C.

Circumflex

D.

Left anterior descending

Buy Now
Questions 19

Which finding is most commonly associated with Ebstein anomaly?

Options:

A.

Ventricular septal defect

B.

Atrial septal defect

C.

Pulmonary stenosis

D.

Tricuspid stenosis

Buy Now
Questions 20

Which method is appropriate for measuring the left atrial diameter in parasternal long axis?

Options:

A.

Inner edge to inner edge, perpendicular to the aortic root, at end-diastole

B.

Inner edge to inner edge, parallel to the aortic root, at end-diastole

C.

Inner edge to inner edge, perpendicular to the aortic root, at end-systole

D.

Outer edge to outer edge, perpendicular to the aortic root, at end-systole

Buy Now
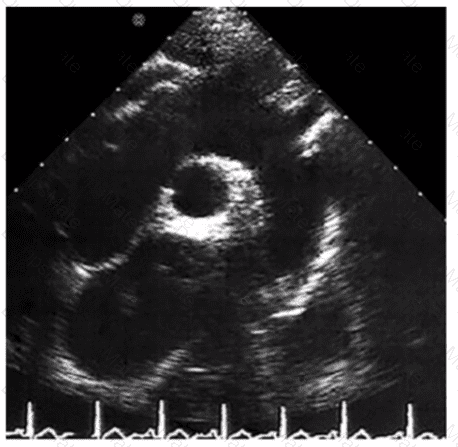
Questions 21

Identify the right pulmonary artery.

Using your mouse, place the cursor on the appropriate region of the image and then left click the mouse button to indicate your selection.

AE-Adult-Echocardiography Question 21

Which mitral regurgitation jet direction is most consistent with hypertrophic obstructive cardiomyopathy?

Options:

A.

Anterior

B.

Posterior

C.

Central

D.

Medial

Buy Now
Questions 22

Which of the following can be calculated from the peak tricuspid regurgitant velocity?

Options:

A.

Right atrial pressure

B.

Pulmonary artery diastolic pressure

C.

Mean pulmonary artery pressure

D.

Right ventricular systolic pressure

Buy Now
Questions 23

Which Doppler signal is used to calculate the pulmonary artery end-diastolic pressure gradient?

Options:

A.

Tricuspid insufficiency

B.

Tricuspid inflow velocity

C.

Pulmonary insufficiency

D.

Pulmonary inflow velocity

Buy Now
Questions 24

Which of the following are key features of an unrepaired tetralogy of Fallot?

Options:

A.

Displaced tricuspid valve, atrialization of the right ventricle, severe tricuspid regurgitation, and a secundum atrial septal defect

B.

Supravalvular mitral valvular ring, subaortic membrane, bicuspid aortic valve, and aortic coarctation

C.

Inlet ventricular septal defect, common atrioventricular valve, atrioventricular valve regurgitation, and primum atrial septal defect

D.

Outlet ventricular septal defect, overriding aorta, right ventricular outflow tract obstruction, and right ventricular hypertrophy

Buy Now
Questions 25

Which method is useful for obtaining a good quality pulmonary vein spectral Doppler waveform for evaluation of diastolic function?

Options:

A.

Use of non-imaging transducer

B.

Use of continuous wave Doppler

C.

Doppler wall filter settings changed to allow for low frequency signals

D.

Doppler wall filter settings changed to filter out low frequency signals

Buy Now
Questions 26

Which procedure is most appropriate for evaluation of an atrial septal defect in the presence of an atrial septal aneurysm?

Options:

A.

Cardiac MRI

B.

Cardiac catheterization

C.

Agitated saline contrast echocardiogram

D.

Transesophageal echocardiogram

Buy Now
Questions 27

Which finding is associated with coarctation of the aorta?

Options:

A.

Atrial septal defect

B.

Ventricular septal defect

C.

Left ventricular hypertrophy

D.

Right ventricular hypertrophy

Buy Now
Questions 28

A patient with a ventricular septal defect, an atrial septal defect, and a cleft mitral valve is likely to have which abnormality?

Options:

A.

Atrioventricular canal defect

B.

Ebstein anomaly

C.

Marfan syndrome

D.

Shone syndrome

Buy Now
Questions 29

Which finding is associated with partial anomalous venous return?

Options:

A.

Cleft mitral valve

B.

Persistent left superior vena cava

C.

Sinus venosus atrial septal defect

D.

Perimembranous ventricular septal defect

Buy Now
Questions 30

Which adjustment should be made to optimize this video?

AE-Adult-Echocardiography Question 30

Options:

A.

Increase compression

B.

Decrease overall gain

C.

Increase time gain compensation in the near field

D.

Decrease time gain compensation in the far field

Buy Now
Questions 31

Which Doppler signal is most consistent with significant aortic valve regurgitation?

Options:

A.

Pulsed wave Doppler forward flow in abdominal aorta

B.

Color Doppler vena contracta / Left ventricular outflow tract diameter ratio less than 25%

C.

Continuous wave Doppler pressure half-time less than 250 ms

D.

Continuous wave Doppler peak velocity equal to or greater than 4.5 m/s

Buy Now
Questions 32

Which diagnosis is most likely confirmed by echocardiography in a 65-year-old female presenting with new onset chest pain associated with ST segment elevation on the electrocardiogram and angiographically normal coronary artenes?

Options:

A.

Alcohol-associated cardiomyopathy

B.

Apical hypertrophic cardiomyopathy

C.

Restrictive cardiomyopathy

D.

Takotsubo cardiomyopathy

Buy Now
Questions 33

Which statement is most accurate regarding cardiac contusion?

Options:

A.

It affects the right ventricle more commonly than the left.

B.

It can result from a myocardial infarction.

C.

It is focal ventricular hypertrophy.

D.

It leads to hypercontractility of the left ventricle

Buy Now
Questions 34

An intravenous drug user presents with a fever of unknown origin, flu-like symptoms, dyspnea, and chest pain. Which ultrasound finding is mostly likely associated with this presentation?

Options:

A.

Aortic dissection

B.

Hypertrophic cardiomyopathy

C.

Mitral valve prolapse

D.

Endocarditis

Buy Now
Questions 35

When should a patient's systemic blood pressure be documented on an echocardiogram?

Options:

A.

With every echocardiogram

B.

When significant aortic stenosis is present

C.

When significant mitral regurgitation is present

D.

When evidence of pulmonary hypertension is detected

Buy Now
Questions 36

What is the normal dP/dt value of left ventricular systolic function?

Options:

A.

400-799 mmHg/s

B.

800-1199 mmHg/s

C.

Less than 400 mmHg/s

D.

Greater than 1200 mmHg/s

Buy Now
Questions 37

Which finding is most consistent with this M-mode image?

Options:

A.

Rheumatic mitral stenosis

B.

Mitral valve prolapse

C.

Mitral valve annuloplasty ring

D.

Systolic antenor motion of the mitral valve

Buy Now
Questions 38

Which abnormality is associated with Marfan syndrome?

Options:

A.

Aortic annular dilatation

B.

Coarctation of the aorta

C.

Parachute mitral valve

D.

Cleft mitral valve

Buy Now
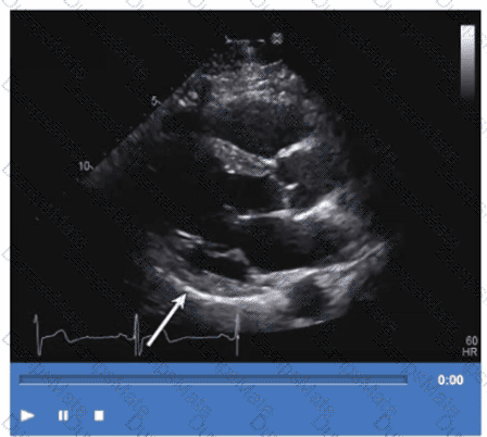
Questions 39

Which wall is indicated by the arrow on this video?

AE-Adult-Echocardiography Question 39

Options:

A.

Anteroseptum

B.

Anterolateral

C.

Inferoseptum

D.

Inferolateral

Buy Now
Questions 40

Which congenital heart anomaly is found in approximately 30% of normal adults?

Options:

A.

Cleft mitral valve

B.

Bicuspid aortic valve

C.

Patent foramen ovale

D.

Hypertrophic cardiomyopathy

Buy Now
Questions 41

Which wall is indicated by the arrows on this image?

AE-Adult-Echocardiography Question 41

Options:

A.

Anteroseptum

B.

Inferoseptum

C.

Anterolateral

D.

Inferior

Buy Now
Exam Name: AE Adult Echocardiography Examination
Last Update: May 22, 2026
Questions: 137

PDF + Testing Engine

$49.5  $164.99

Testing Engine

$37.5  $124.99
buy now AE-Adult-Echocardiography testing engine

PDF (Q&A)

$31.5  $104.99
buy now AE-Adult-Echocardiography pdf
dumpsmate guaranteed to pass

24/7 Customer Support

DumpsMate's team of experts is always available to respond your queries on exam preparation. Get professional answers on any topic of the certification syllabus. Our experts will thoroughly satisfy you.

Site Secure

mcafee secure

TESTED 22 May 2026